
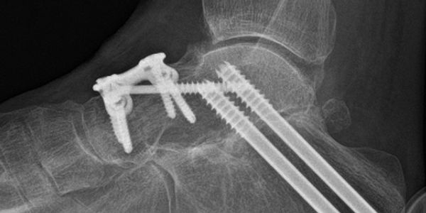
Hindfoot fusion surgery is used to treat severe arthritis, deformity or instability affecting the back of the foot, most commonly involving the subtalar, talonavicular and/or calcaneocuboid joints. These conditions can cause persistent pain, swelling and difficulty walking, particularly on uneven ground. Fusion stabilises the affected joints, removes painful movement and helps restore a more comfortable and stable foot.
Hindfoot fusion may involve one or more joints depending on your condition. Common procedures include:
The operation typically involves:
Your surgeon will discuss which joints need fusion and why.
Recovery time depends on the number of joints fused and your individual healing response.
Prof Mason has clinics at Spire Liverpool (weekly) and in Douglas, Isle of Man (every 3 months)
Cost -
Initial consultation - £250
Follow-up - £150
Spire Liverpool Hospital, 57 Greenbank Rd, Liverpool L18 1HQ, UK
Patient Liaison - Clare van de Waal Telephone - 07717580737 E-mail - CVDWclerical@outlook.com Website - <<https://liverpoolfootandankle.com/<<
Copyright © 2026 Prof Lyndon Mason - All Rights Reserved.